
张嵘 四川在线记者 余如波
记者1月7日从德阳市人民医院获悉,1月5日,该医院成功为一名中年男性患者施行了腹腔镜胆囊切除手术。值得注意的是,当天患者是一名罕见的五脏六腑全长反的“镜面人”。
“镜面人”是一种罕见的先天性畸形,患者人体内脏解剖变异,心、肺、横膈、肝、脾、胃、肠等全部内脏的位置呈180度反位。就像正常人照镜子,位置与常人相反,医学上称为“镜面人”。这种畸形通常不影响人的健康,但会给医生治疗,特别是手术治疗造成不小的障碍。
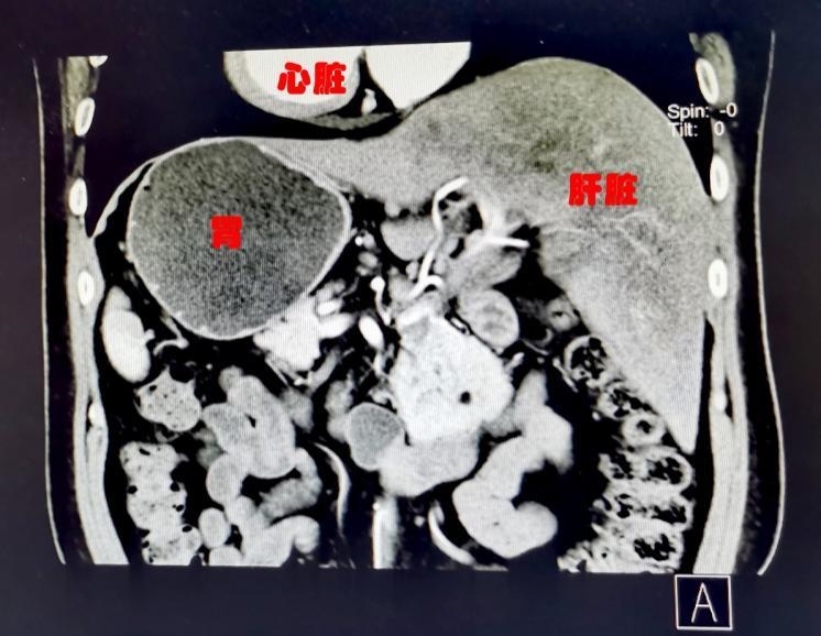
刘先生的腹部CT图像
普通人的腹部CT图像
年近五旬的刘先生便是一位“镜面人”。日前,他因胆囊结石住进了德阳市人民医院肝胆胰外科,医生在检查中发现,他的病情不算十分严重,但五脏六腑全都反着长。这也是近二十年来,该医院出现的唯一一例“镜面人”。
据悉,因手术使用的内镜器械根据通常人体内脏位置设计,因此面对“镜面人”,手术时需要“逆向思维”,克服反向进镜、反位放射图像、取石方向相反等诸多不利因素,操作难度较大。为此,医院为刘先生制定了详细的手术方案,并由德阳市人民医院院长、肝胆胰外科专家麦刚亲自主刀进行了标准化示教手术。
刘先生是30多年前在德阳市人民医院进行升学体检时知道自己是“镜面人”的。他表示,虽然自己的五脏六腑全都反着长,但几十年来,日常生活、工作并没有受到什么影响,“只是生病的时候有点难为医生了”。据了解,刘先生手术顺利,目前已出院。
德阳市人民医院 供图