
四川在线记者魏冯何嘉琦
“腿弯了30年,终于能伸直走路了!”6月3日,四川大学华西医院第一住院大楼7楼,79岁的阿坝州若尔盖县大骨节病患者乐吉(化名)在病房里扶着助行器起身,身后还有4位患者正结伴在走廊练习步态——这群被大骨节病折磨数十年的老人,成为华西医院首批体验“精准适配生物型膝关节假体”的受益者。在此前,他们行走都需要依赖拐杖,还饱受关节疼痛困扰。

6月3日,患者结伴在走廊练习步态。魏冯 摄
6月3日,骨科主任周宗科教授向四川在线记者揭开这项技术的奥秘:传统关节置换术依赖“骨水泥”固定假体,但骨水泥会随时间老化,导致假体松动,后期不得不进行“翻修”手术。
而华西团队和企业研发的新型假体,则实现从“装零件”到“种关节”的跨越。一方面应用基于多模态影像的生成式无序晶格结构设计,在假体-骨界面构建力学超结构仿生骨小梁涂层,早期增加假体初始稳定性,后期引导骨骼主动 “爬” 进假体里面;另一方面借助5G通讯手术机器人来实现精准手术、远程手术,实现优质医疗资源的广泛覆盖。
周宗科拿四个模型讲解起来。“你看,模型一,健康关节,软骨光滑,韧带柔韧,可以爬山、可以跑、可以跳;模型二,早期磨损,随着年龄的增加,部分软骨破损,活动时偶发疼痛,可通过药物缓解;模型三,软骨大量磨损,裸露的骨骼摩擦产生剧痛,最后怎么办?”
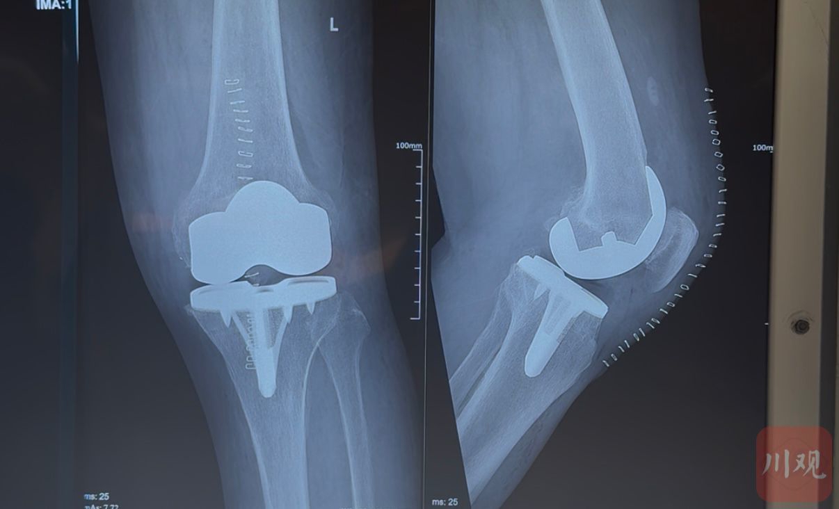
“我们现在给大骨节病患者装入个性化设计的‘股骨假体 + 胫骨假体 + 含维生素E的高交联聚乙烯内衬’这三件套,实现‘行走自如不松动’。”周宗科指着模型四说,术后患者能行走、能干活,甚至还可以去爬峨眉山。


股骨假体+胫骨假体+内衬三件套。魏冯 摄
这项技术的诞生历经20年构思、3年筹备和1年临床验证,最终在2024年底实现假体定型。目前这款假体2周内即可完成个性化定制,主要适用于骨质条件要比较好、无明显骨缺损的患者。
大骨节病是一种地方性、慢性、进行性骨关节疾病,多见于中国西部特定高海拔地区,发病与水土、营养、微量元素缺乏密切相关。中国疾病预防控制中心地方病控制中心2022年数据统计显示,我国大骨节病现症患者约16.9万人。对于终末期大骨节病患者,关节置换术是目前国际公认的最有效治疗方式之一。
本次接受手术的首批5位患者均为长期依赖拐杖行走的高龄老人,平均年龄超过70岁,来自若尔盖县辖曼镇等地,因关节严重变形、功能受限,日常生活受到极大影响。5月24日,为确保患者转诊顺利,若尔盖县人民医院医护人员全程护送患者前往四川大学华西医院接受手术治疗。
此次为5位患者进行的生物型全膝关节置换手术均为公益行动。后续,其余77位患者也将根据其本人意愿在华西医院或若尔盖县人民医院进行生物型全膝关节置换手术。
周宗科教授团队未来将把大骨节病诊疗体系(从诊断到手术、康复)推广到高原骨病防治中,守护更多人群的关节健康。