
川观新闻记者 石小宏
8月26日,在省医院接受断掌再植手术的陈先生,经过术后两周的康复,准备出院。

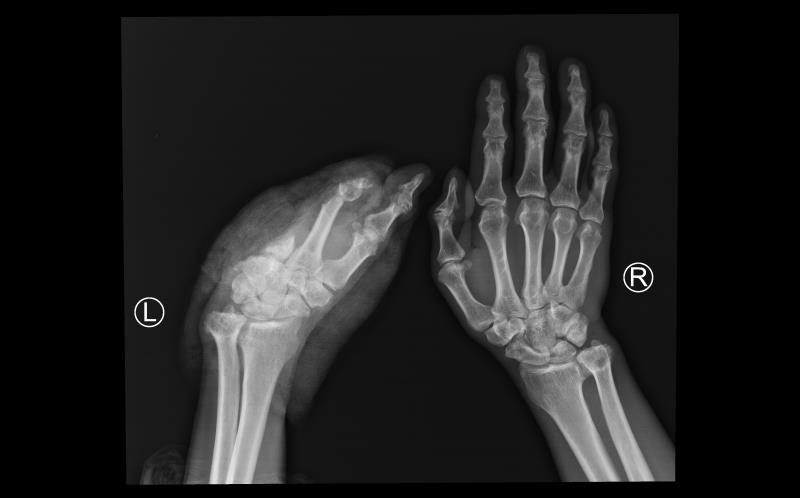
55岁的患者是西藏昌都人,8月9日下午,因车祸伤导致左手掌完全离断,因当地医院无再植医疗条件,经过初步处理后,采用疫苗冷链箱保存离断肢体,患者搭乘飞机于8月10日下午到四川省人民医院骨科急诊入院。

一般断肢再植的最佳时机是伤后6-8小时,而该患者来院时离断肢体缺血时间已经超过24小时,且车祸伤导致的残端不规则,再植手术难度大,术后出现并发症的风险高。

骨科肖成伟博士团队请示骨科胡豇主任,开展科内讨论后,决定冒着风险,做一次尝试性再植,给患者一次机会。经过积极的术前准备,在麻醉手术中心等相关科室的支持下,肖成伟博士团队很快开始了急诊再植手术。经过显微镜下长达6个半小时的奋战,一共吻合重建了3根动脉,6根静脉,5根神经,14根肌腱。8月11日凌晨2点,患者离断肢体恢复血供,再植手术获得初步成功。
术后一周,再植肢体安全度过了术后发生血管危象的可能。目前,再植肢体完全存活,其他功能也在逐步恢复中。据主刀医生介绍,康复后,患者虽然不能进行精细动作,但一般的生活自理是没问题的。