
四川在线记者 石小宏
腹胀,几乎每个人都感受过。面对持续的腹胀,往往会被想做是消化不良、胃炎、胃溃疡、等胃肠道疾病。
64岁的周先生近来就遇到了这个问题,各种用药、检查都没解决腹胀、乏力的问题。在找了一圈原因后,竟发现问题的根源是——铅中毒!
奇怪了:持续腹胀原因不明
自去年国庆节后,周先生就开始无缘由的腹胀,胃口也变得越来越差。以为自己是“消化不良”之类的问题,便多次在药店、诊所购买药物服用。在吃了“一抹多”的药后,症状反而是越来越重。不但有腹胀、乏力,偶尔还会腹痛,活动后还会有心累的感觉。
持续的腹胀不适,让周先生感觉这个病不是 “将就一下”就能抗过去的。他就到附近医院就诊,做了胃镜检查发现为“轻度反流性食管炎、慢性非萎缩性胃炎”,同时还存在贫血、肝功能异常等问题。但他进一步进行自身免疫性疾病、肿瘤、造血原料筛查以及CT、腹部彩超等检查后,却都没有发现异常。
在经过“保肝、保胃、促进胃肠动力”等药物治疗后,周先生的症状还是没有明显的改善。
“打麻将都反应不过来了!咋的哦?”他发现,目前不仅腹胀、腹痛等问题没解决,反而连注意力都难以集中了,甚至睡眠都受到了影响。
惊呆了:元凶竟是重金属中毒
“到底是啥子病哦?”带着对未知问题的惶恐,周先生又辗转来到了成都市第三人民医院。入院检查后,消化内科杨增伟医生发现周先生除了消化道的问题还有贫血,血红蛋白比之前还要低,现在仅有65g/L。为了搞清楚贫血的原因,消化科请血液开展多学科会诊。
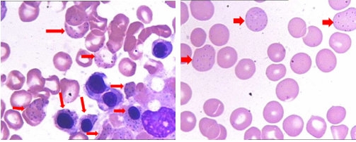
血液内科主任谭竞在会诊的过程中发现,患者的红细胞非常多的“嗜点彩”,大量的嗜碱性点彩出现在红细胞,往往提示存在“重金属中毒”问题!根据这一重要线索,消化内科杨增伟医生为其进一步安排了重金属检测。通过对血液和尿液检查,结果显示血液及尿液中铅含量均超标。也就是说,周先生确实是“铅中毒”了!
后悔了:保健不成反伤身
“我咋会中毒喃?”对于这个结果,从没接触过铅等重金属的周先生十分纳闷。
找到病因很重要,找中毒的原因更重要,因为这可以帮助周先生避免继续中毒。医生帮助对周先生工作、居住环境、家族成员等进行了梳理,但经过逐一排查,都没有找到可疑原因。
“会不会是那个保健品?”周先生家人说,平日一家人的食、住、行都没有区别,唯一不同的就是他长期在服用一种保健品。
原来,在5年前被确定为糖尿病后,周先生被推荐服用一种粉末状的保健品“降糖”,“每天会取5g兑水喝,但是这个产品没得说明书、配方表。”
根据医嘱,周先生立即停止了服用该保健品并同时开展驱铅治疗。经过治疗,腹胀、乏力症状均消失,食欲也慢慢好转。后续复查血红蛋白,已升至110g/L,目前随访反馈的情况也良好。
“再也不敢乱吃药和保健品了!”对于这次的经历,周先生和家人既感觉庆幸,但同时也十分后怕。
值得注意的是,近年来保健品引起铅中毒的案例并不是偶发。那保健品为啥会和铅中毒有关?据分析,这可能是和它采用的原料铅超标或加工过程器械被污染等有关。